СТОМАТОЛОГИЯ м МАРЬИНО 2-мин от метро пешком

Мы предлагаем комплексный подход к здоровью полости рта, охватывающий все направления современной стоматологии

Безболезненное лечение кариеса:
- используем анестезию последнего поколения и работаем с максимальной аккуратностью

Лечение каналов под микроскопом:
- высокоточное лечение пульпитов и периодонтитов, позволяющее сохранить даже самые сложные зубы.
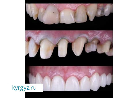
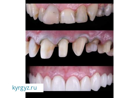
Эстетические реставрации:
- восстановление анатомической формы и естественного цвета зуба

Удаление зубов любой сложности:
- включая ретинированные (непрорезавшиеся) зубы мудрости.

Имплантация "под ключ"

Ортопедия (Протезирование):
- красота и функциональность

Коронки и мосты из циркония и керамики:
- максимально естественный внешний вид и долговечность.

Виниры и люминиры:
- идеальная улыбка всего за несколько посещений. Коррекция цвета, формы и положения зубов.

Все виды протезирования:
- от съемных бюгельных протезов до сложных несъемных конструкций

Ортодонтия:
- идеальный прикус в любом возрасте

Брекет-системы:
- металлические, керамические, лингвальные (невидимые снаружи) – подберем вариант для вас.
Элайнеры (прозрачные каппы): Комфортная и эстетичная альтернатива брекетам.

Профессиональная гигиена и отбеливание:
- сияющая улыбка
Комплексная чистка зубов: Ультразвук + полировка. Удаление налета и зубного камня.
Профессиональное отбеливание: Безопасные и эффективные системы для осветления эмали на несколько тонов


наш адрес:
метро МАРЬИНО 2-ой выход (2-мин пешком от метро )
ул НОВОЧЕРКАССКИЙ БУЛЬВАР д 51


наши контакты:
+7 905 752 42 84
+7 925 063 63 80 wa

Станция метро Марьино

Комментарии не найдены


Необходимо авторизоваться, чтобы оставить комментарий.